
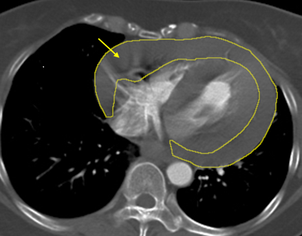
【記者葉柏成/新北報導】46 歲陳姓女子日前騎機車返家途中突感頭暈、意識不穩,機車失控摔倒,經路人協助緊急送抵 土城長庚醫院 急診時已陷入休克狀態。急診醫療團隊迅速啟動重症評估與影像檢查,電腦斷層顯示患者心臟外層已迅速累積大量心包積血,並高度懷疑合併外傷引發的 「升主動脈剝離」——一種死亡率極高、分秒必爭的致命急症。醫院立即展開跨科整合搶救機制,在關鍵 72 小時內完成三次重大手術,將患者從生死邊緣拉回,目前已順利康復出院。
胸腔及心臟血管外科主治醫師鄭元熙指出,心包積血是指血液在極短時間大量堆積於心臟外層的心包腔內,造成心臟受壓,無法正常擴張與跳動,血壓會迅速下降,甚至在數分鐘內導致心跳停止,是典型的致命急症;而升主動脈為全身最粗大的主動脈,一旦發生剝離或破裂,出血速度之快猶如水管爆裂,臨床上常見患者尚未送醫前即已失去生命跡象。
陳小姐回憶,自己過去長期有反覆頭暈困擾,曾因突發頭暈騎腳踏車摔倒,但症狀短暫且未就醫檢查。此次意識喪失送醫後,影像檢查確診為大量心包積血及疑似主動脈剝離後,醫療團隊第一時間成立跨科搶救小組,由心臟外科緊急執行「劍突下心包開窗術」,迅速解除心臟壓迫並穩定循環;隨後無縫接軌由血管外科進行高難度的「升主動脈置換術」,以人工血管重建破裂主動脈。整體手術歷時甚長,醫療團隊全程與時間競速,並於術後陸續完成止血、調整及胸骨固定等關鍵處置。
術後,患者由加護病房醫療團隊嚴密監測病況,並在復健團隊循序協助下進行心肺功能訓練。經過數日密集照護與治療,陳小姐恢復情形良好,終於擺脫器械支持,順利康復出院。
鄭元熙提醒,心包積血與主動脈剝離往往來得又急又快,初期症狀可能並不明顯,但能在短時間內危及生命。尤其若有高血壓、動脈硬化、心血管疾病或家族史等風險因子者,應定期追蹤檢查並控制風險,如戒菸、規律運動及服藥控制血壓等。若出現突發性劇烈胸痛、背痛、腹痛,或頭暈、暈厥等非典型症狀,切勿輕忽,務必立即就醫,把握黃金搶救時機。
他說,此次成功搶救案例不僅展現跨科團隊高度協調與專業,更提醒民眾面對突發生命危機,時間就是救命條件,及早就醫與精準診斷是提高存活機會的關鍵。

