
【記者葉柏成/新北報導】騎車自摔千萬別以為只是「皮肉傷」。41歲廖先生日前騎車上班途中不慎自摔撞上電線桿,被緊急送往衛生福利部臺北醫院急診。到院時雖意識清楚,但血壓偏低、心跳過快。急診醫師警覺可能有嚴重內傷,安排電腦斷層檢查後發現,不僅多處肋骨骨折,胸主動脈還出現「包覆性破裂」,情況宛如體內藏了一顆隨時可能引爆的炸彈。
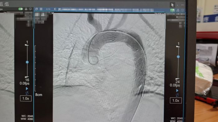
院方緊急會診心臟血管外科醫師孟繁傑,評估後立即施行「胸主動脈腔內血管支架置放手術」,僅在腹股溝處開出不到1公分的小傷口,將支架透過導管送入主動脈破裂處封堵出血點,成功解除致命危機。廖先生術後恢復順利,目前已平安出院。
孟繁傑指出,胸主動脈創傷是極為兇險的急症,多見於車禍、高處墜落或嚴重撞擊等胸部鈍挫傷。根據國際文獻統計,高達八成患者在送醫前就已死亡;即使順利送到醫院,仍有約46%病人可能因傷勢過重而喪命,因此能否及時診斷與治療,是攸關生死的關鍵。

他說明,「廖先生受傷的位置位於主動脈弓與降主動脈交界處的峽部(isthmus)。」,這裡是胸部外傷最常見的主動脈破裂位置,因為主動脈在此處轉彎固定,當胸部受到強烈撞擊時,產生的剪力容易造成血管撕裂,形成假性動脈瘤。如果沒有及時發現,一旦包覆性破裂轉為完全破裂並引發大出血,存活機率幾乎為零。
過去治療此類重症,多須進行傳統側身開胸手術,手術傷口可長達30至40公分,且術中需使用高劑量抗凝血劑。對於同時合併多重外傷的患者而言,容易導致其他部位出血,手術風險相當高。

孟繁傑表示,近年來,主動脈腔內血管支架置放手術逐漸成為主流治療方式。醫師只需從腹股溝股動脈置入導管,將金屬支架精準送到破裂位置撐開血管並封住破口,不僅傷口小、手術時間短,也能降低出血與併發症風險。目前此項治療方式已被美國血管外科學會列為主要治療建議,台灣健保也已納入給付,讓患者能以較低負擔接受先進治療。
此外,國內近期也引進新型一體成型的胸主動脈分支支架,並已獲美國食品藥物管理局(FDA)核准臨床使用。該支架具有內建分支設計,可同時維持主動脈弓分支血管的血流,特別適用於破口靠近左鎖骨下動脈等複雜位置的病例。

孟繁傑說明,過去若破裂點接近分支血管,除了置放主動脈支架外,還可能需要人工血管繞道手術,或進行血管內「煙囪支架」技術,以維持分支血管供血。新型分支支架問世後,可一次完成治療,降低支架內滲漏風險,也避免額外手術傷口,進一步縮短手術時間並減少術後疼痛與併發症。
他提醒,車禍、自摔或高處墜落後,民眾常只注意外表傷口,但胸部撞擊可能隱藏致命內傷,包括心臟或主動脈損傷等。若在事故後出現胸痛、呼吸困難、心跳加快或血壓異常等症狀,務必立即就醫檢查,才能把握搶救生命的黃金時間。

